全台首例「鐵氟龍流感」?50歲女子「咳嗽咳到要死」確診住院 兇手「出現在廚房」疾管署回應了
美國去年多達265例通報,創下史上新高的「鐵氟龍流感」,近日驚傳台灣疑似出現首例個案,一名50歲女子就醫直呼:「咳嗽咳到要死!」後來因氣喘、胸悶等症狀住院,醫師推測她可能是鐵氟龍流感,對此疾管署也回應了!

圖/翻攝自 大紀元
Advertisements
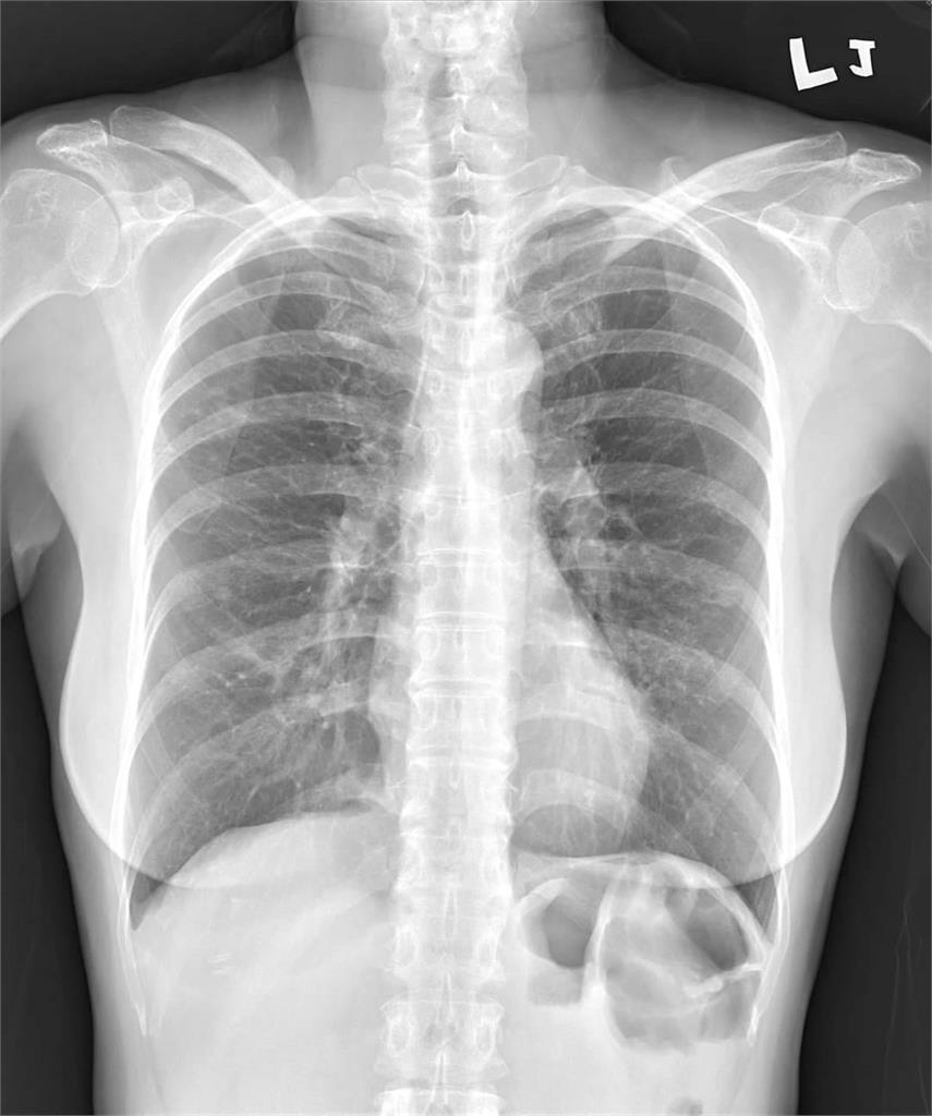
根據《ETtoday》報導,陽明醫院胸腔科醫師蘇一峰透過社群平台分享個案,日前收治一名50歲女病患,她本身有氣喘,平時症狀都相當穩定,不料最近突然發病,就診時直言:「咳嗽咳到要死!」照了X光發現她有輕微浸潤肺炎,照出一片白,但做了流感、新冠、黴漿菌等呼吸道病毒細菌的篩檢,卻全都是陰性,詢問平常作息才知道,罪魁禍首恐怕是家中鍋具。

圖/翻攝自 蘇一峰 臉書
Advertisements
女子透露只要使用家中的不沾鍋,就會出現不舒服、胸悶的症狀,尤其是在高溫烹調的時候,煎肉冒出來的味道讓她非常不舒服,醫師推測她是對不沾鍋的相關塗料過敏,越刺激反應會越來越強,到最後咳到不行,住院治療五天出院,女子回家聽從建議更換新鍋子,從此症狀消失,醫師表示:「這可能是台灣首例『鐵氟龍流感』!」但目前政府沒有通報窗口,他也不曉得能去哪通報!

圖/翻攝自 蘇一峰 臉書